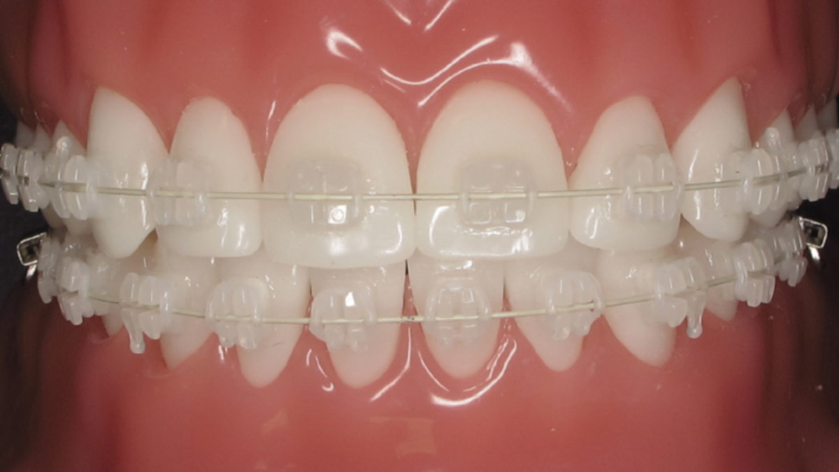
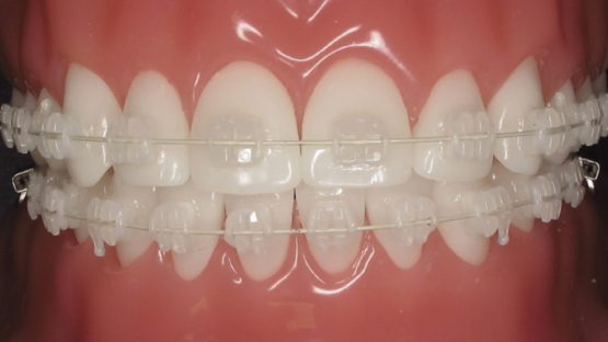
براکت سرامیکی

براکت سرامیکی

 

براکت های سرامیکی شبیه براکت های فلزی سنتی هستند، اما از مواد شفاف یا همرنگ دندان ساخته شده اند که با دندان ها ترکیب می شود.

این باعث می‌شود که آن‌ها برای افرادی که می‌خواهند گزینه درمان ارتودنسی دقیق‌تری داشته باشند، انتخابی محبوب باشند. یکی از مزایای براکت‌های سرامیکی این است که نسبت به براکت‌های فلزی کمتر به چشم می‌آیند، که می‌تواند به‌ویژه برای بزرگسالانی که ممکن است نسبت به استفاده از براکت های فلزی احساس بدی داشته باشند جذاب باشد.

علاوه بر این، براکت‌های سرامیکی می‌توانند به اندازه براکت‌های فلزی در اصلاح طیف گسترده‌ای از مشکلات دندانی از جمله دندان‌های کج، شکاف و اوربایت مؤثر باشند. با این حال، توجه به این نکته مهم است که براکت‌های سرامیکی ممکن است شکننده‌تر از براکت‌های فلزی باشند، بنابراین بیماران باید هنگام خوردن غذاهای خاص یا انجام فعالیت‌های خاص مراقب باشند تا به آنها آسیب نرسانند.

علاوه بر این، براکت‌های سرامیکی ممکن است نیاز به تنظیمات مکرر نسبت به براکت‌های فلزی داشته باشند. به طور کلی، براکت های سرامیکی می تواند یک انتخاب عالی برای افرادی باشد که می خواهند یک گزینه درمانی ارتودنسی محتاطانه بدون کاهش اثربخشی داشته باشند. متخصص ارتودنسی شما می تواند به شما کمک کند تعیین کنید که آیا براکت های سرامیکی انتخاب خوبی برای شما هستند یا خیر.

 

نکات و مقایسه :

ارتودنسی با براکت های سرامیکی و ارتودنسی با براکت های معمولی هر دو گزینه های موثری برای اصلاح نامرتبی دندان ها و فک ها هستند. با این حال، برخی از تفاوت های کلیدی بین این دو وجود دارد. براکت های سرامیکی از مواد شفاف یا همرنگ دندان ساخته می شوند، در حالی که براکت های معمولی از فلز ساخته می شوند.

این باعث می شود براکت های سرامیکی کمتر به چشم بیایند و از نظر زیبایی بیشتر دلپذیرتر شوند، به خصوص برای افرادی که نگران ظاهر بریس های فلزی سنتی هستند. تفاوت دیگر این است که براکت های سرامیکی ممکن است شکننده تر از براکت های فلزی باشند، که می تواند آنها را مستعد شکستگی کند.

بیمارانی که براکت‌های سرامیکی دارند، ممکن است لازم باشد هنگام خوردن غذاهای خاص یا شرکت در فعالیت‌های خاص مراقب باشند تا به براکت‌هایشان آسیب نرسد. با این حال، براکت‌های سرامیکی می‌توانند به اندازه براکت‌های فلزی در اصلاح طیف وسیعی از مشکلات دندانی، از جمله دندان‌های کج، شکاف و اوربایت مؤثر باشند. هر دو نوع بریس نیاز به تنظیمات منظم توسط متخصص ارتودنسی دارند تا به تدریج دندان ها را به موقعیت مورد نظر منتقل کند.

 

این مطلب را به اشتراک بگذارید

پاسخ دهید

نشانی ایمیل شما منتشر نخواهد شد. بخش‌های موردنیاز علامت‌گذاری شده‌اند *